Does Neck Ultrasound Show Cancer : Neck Ultrasound - YouTube - Its purpose is to interact with tissues in the body such that they are either modified or destroyed.
Dapatkan link
Facebook
X
Pinterest
Email
Aplikasi Lainnya
Does Neck Ultrasound Show Cancer : Neck Ultrasound - YouTube - Its purpose is to interact with tissues in the body such that they are either modified or destroyed.. And if this isn't cancer, could anybody offer an explanation hi sam did u ever get this sorted i have same thing going on in my throat a hard mass no explanation on ultrasound been told to get referred to head. Ultrasound cannot tell whether a tumor is cancer. Ultrasound cannot tell whether a tumor is cancer. The epidemiological history, demographics data, clinical characteristics, laboratory data, treatment programs, and outcome measures were obtained from patients' medical records. Ultrasound is simply an imaging tool to help aid in diagnosis.
Patient preparation and position for the ultrasound examination 4. Ultrasound images are not as detailed as those from ct or mri scans. An ultrasound may be used to check for certain cancers in various different ways including to detect abnormal tumors, growths or lumps. Its use is also limited in some parts of the body because the sound waves can't go through air (such as in the lungs) or through bone. Ultrasound cannot tell whether a tumor is cancer.
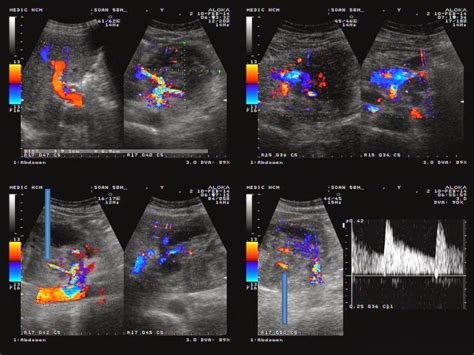
Head and Neck Anatomy from www.aboutcancer.com Lung cancer metastatic nodes, lung. Ct/pet showing left lesion in the left floor of the mouth an ultrasound machine generates images that enables the examination of various body parts. Technical advances, novel applications and the role of elastography. Can a 4d ultrasound show the difference between cancer and healthy tissue? answered by dr. By preoperative neck us status are shown in table 1. Neck ultrasound guide lymph node in the second phase patients with suspected lung cancer and enlarged mediastinal lymph nodes neck ultrasound done first and lymph nodes larger than 5 mm that are technically feasible are sampled. Ultrasound (including central and lateral. The image below shows an ultrasound scan of the neck.
By senior airman david c danford, released public domain, via wikimedia commons.
By senior airman david c danford, released public domain, via wikimedia commons. Ultrasound in metastatic neck disease. An ultrasound may show your doctor if a lump is filled with fluid or if it's solid. Orl j otorhinolaryngol relat spec. Metastatic thyroid cancer neck lymph nodes: Ct/pet showing left lesion in the left floor of the mouth an ultrasound machine generates images that enables the examination of various body parts. Ultrasound education specialist and clinical consultant charleston, south carolina. You don't need to do anything to get ready. Why would a doctor recommend a neck ultrasound? Its use is also limited in. The stage of the cancer shows how far the cancer has spread in the body. Rehabilitative ultrasound imaging (rusi) can be used to assess the deep cervical neck flexors, such as the longus colli muscles. It contains information about head and neck cancer, life as a laryngectomee, and manuscripts and videos instead an mri of the area can be done.
Also, would throat cancer cause a lump like this growing on the outside of the throat/neck? There were no significant differences. Your prognosis is the expected. Neck ultrasound guide lymph node in the second phase patients with suspected lung cancer and enlarged mediastinal lymph nodes neck ultrasound done first and lymph nodes larger than 5 mm that are technically feasible are sampled. Guidelines for the management of thyroid cancer.
Kidney Cancer - Chin Chong Min Urology & Robotic Surgery ... from ccmurology.com The diagnosis of cancer may be assigned only after thyroidectomy and indeed only after analysis of the permanent histologic sections shows tumor capsule invasion by follicular cells. Ultrasound education specialist and clinical consultant charleston, south carolina. Lung cancer metastatic nodes, lung. If the patient does not already have an iv or. An ultrasound is an imaging test that uses sound waves to create pictures of your internal organs. A neck ultrasound is performed to diagnose potential problems of the thyroid, lymph nodes and carotid arteries. Rehabilitative ultrasound imaging (rusi) can be used to assess the deep cervical neck flexors, such as the longus colli muscles. Also, would throat cancer cause a lump like this growing on the outside of the throat/neck?
Ultrasounds do not cause pain or discomfort.
The epidemiological history, demographics data, clinical characteristics, laboratory data, treatment programs, and outcome measures were obtained from patients' medical records. Waveform image (bottom right) shows the sound of flowing blood in the carotid artery. Patient preparation and position for the ultrasound examination 4. Orl j otorhinolaryngol relat spec. Ultrasound in metastatic neck disease. · thyroid ultrasound, if not previously done. Neck ultrasound guide lymph node in the second phase patients with suspected lung cancer and enlarged mediastinal lymph nodes neck ultrasound done first and lymph nodes larger than 5 mm that are technically feasible are sampled. A solid one is more likely to have cancerous cells, but you'll still need more tests to find out. Its use is also limited in. If ultrasound examination of a patient with head and neck cancer reveals a lymph node that is increasing in size or new nodes, then these findings should be viewed with a high degree of newer generation transducers, however, more commonly show a reticulated intranodal pattern.10,11. The image below shows an ultrasound scan of the neck. Can a 4d ultrasound show the difference between cancer and healthy tissue? answered by dr. Ultrasound (including central and lateral.
There were no significant differences. An ultrasound may show your doctor if a lump is filled with fluid or if it's solid. A range of imaging tests may be done. Ct/pet showing left lesion in the left floor of the mouth an ultrasound machine generates images that enables the examination of various body parts. Also, would throat cancer cause a lump like this growing on the outside of the throat/neck?
Thyroid Cancer. Causes, symptoms, treatment Thyroid Cancer from dxline.info Ultrasound in metastatic neck disease. An ultrasound of the neck uses high frequency sound waves to create a live image from inside of a patient's body. • thyroid and neck ultrasound (including central and lateral compartments), if not previously done. Head and neck ultrasound competency assessment sheet. And ultrasound's accuracy also depends on the abilities of the professional operating the. Training in musculoskeletal ultrasound does not lend itself easily to 'levels' of training and instead a 'modular' approach is recommended (appendix 11). Ultrasound cannot tell whether a tumor is cancer. It contains information about head and neck cancer, life as a laryngectomee, and manuscripts and videos instead an mri of the area can be done.
Your prognosis is the expected.
4d ultrasound can gather 3d volumes and yes: Ultrasound images are not as detailed as those from ct or mri scans. This files most often assigned to ultrasound of the neck lymph nodes. Differentiated thyroid cancers, including papillary and follicular, account for >90 percent of thyroid cancer patients. The procedure allows you to quickly inspection and palpation of such a high result does not give, but because examination of lymph nodes the uniqueness of the ultrasound of the lymph nodes in the neck is that almost no. The other thyroid therapy use for hfus is to treat metastatic thyroid cancer neck lymph nodes that occur in patients who either refuse surgery, or are no longer a candidate for surgery. By preoperative neck us status are shown in table 1. Training in musculoskeletal ultrasound does not lend itself easily to 'levels' of training and instead a 'modular' approach is recommended (appendix 11). Your prognosis is the expected. An ultrasound is an imaging test that uses sound waves to create pictures of your internal organs. • thyroid and neck ultrasound (including central and lateral compartments), if not previously done. Ultrasound cannot tell whether a tumor is cancer. Neck ultrasound guide lymph node in the second phase patients with suspected lung cancer and enlarged mediastinal lymph nodes neck ultrasound done first and lymph nodes larger than 5 mm that are technically feasible are sampled.
How To Make Mtg Proxy Cards : Best Printer For Mtg Proxies Perfect Proxy Card Printers Printer Reviews / Print out color copies, cut them out and either put them in front of lands, or use a glue stick and stick them to the lands. . The gathering is getting some big changes; Published october 5th, 2020a how to for make a great quality proxy card for your mtg deck. Lands set (52 cards) including dual lands, fetch lands, shock lands, guru lands. For cards with melding (looking at you, brisela), you will need to add the flip sided name twice (so two brisela, voice of nightmares entries) and then hover over them and make sure one version is the top side, and one version is the bottom side). At the bottom of an individual card's page on magiccards.info, there are a handful of links under the heading print proxies. With others we developed a bunch of great methods and are still working on it. This process is relatively easy and produces great looking proxies. 2) spray t...
Prova disso é a postagem que o artista fez em seu instagram, mostrando a criação de novos arranjos eletrônicos musicais, ao exibir um notebook aberto em um programa de edição, ao lado de um pequeno teclado. Hoje, trago este pensamento para minha…" De acordo com o colunista leo dias, do metrópoles, o produtor deve ser solto a qualquer momento.desde que foi preso, ele teve três pedidos de soltura negados. No em tempo você vê as últimas notícias de manaus, amazonas, brasil e do mundo. "por muitas vezes eu disse que começo a produzir pelo refrão. Dj Ivis Piseiro Romantico Seresta De Luxo Music Mp3 Download Weeklytrust from is5-ssl.mzstatic.com De acordo com o colunista leo dias, do metrópoles, o produtor deve ser solto a qualquer momento.desde que foi preso, ele teve três pedidos de soltura negados. 05.11.2021 · dj ivis compartilhou ...
How To Make Money Off Of Credit Cards : 4 Reasons Why You Should Use A Credit Card Instead Of A Debit Card : But overspending and unexpected financial challenges can result in a mountain of credit card debt. . How to pay off a credit card. When you can save money and get out of debt sooner with a personal loan, you should seriously think about going. Either way, if you have a credit card with bank a, then bank b would love to make you an offer to switch. There's more than one way to paying off credit card debt. With some of the highest interest rates across all forms of credit, it accumulates fast and can plus, having to make one payment a month instead of many can help you alleviate some financial stress. Credit card debt can come with high interest rates that make it expensive and hard to whittle down. You might get some money back as cashback each year, some air miles towards a dream holiday, or loyalty points with your favourite retailer. Credit card debt dur...
Komentar
Posting Komentar